La recente notizia della diagnosi di leucemia mieloide ad Achille Polonara, ala grande della Virtus Bologna, ha riportato sotto i riflettori una malattia complessa e spesso poco conosciuta dal grande pubblico. La leucemia mieloide è un tumore che interessa il sangue e il midollo osseo, la fabbrica delle cellule ematiche, e può manifestarsi in forme diverse, con sintomi che all’inizio possono essere facilmente sottovalutati.
Leucemia mieloide: che cos’è e quali sono le sue forme principali
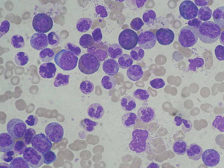
La leucemia mieloide si suddivide principalmente in due forme: la leucemia mieloide acuta (LMA) e la leucemia mieloide cronica (LMC). Queste due patologie, pur condividendo il nome, presentano caratteristiche e dinamiche molto differenti.
La leucemia mieloide acuta (LMA) è una forma aggressiva che si sviluppa rapidamente. Nel midollo osseo si accumulano un numero elevato di cellule immature, chiamate blasti, che non riescono a svolgere le normali funzioni di produzione delle cellule sane del sangue. Questo blocco porta a una carenza di globuli rossi, globuli bianchi e piastrine, con conseguenti sintomi come stanchezza persistente, pallore, febbre o infezioni frequenti e sanguinamenti insoliti come epistassi o gengive sanguinanti. Dolori ossei o articolari, perdita di peso inspiegabile e in alcuni casi ingrossamento di milza o linfonodi completano il quadro clinico. La diagnosi viene confermata tramite analisi del sangue e biopsia del midollo osseo. Il trattamento standard prevede una chemioterapia intensiva, con possibilità di trapianto di midollo osseo nei pazienti più giovani o a rischio.
La leucemia mieloide cronica (LMC) si sviluppa invece lentamente e spesso viene scoperta casualmente durante esami del sangue di routine. È causata da un’alterazione genetica specifica, il cromosoma Philadelphia, che produce una proteina anomala responsabile della crescita incontrollata delle cellule mieloidi. I sintomi possono includere affaticamento, sudorazioni notturne, sensazione di pienezza addominale dovuta all’ingrossamento della milza, febbricola e perdita di peso. La buona notizia è che la LMC può essere efficacemente controllata per molti anni con farmaci inibitori della tirosin-chinasi come l’imatinib, che consentono ai pazienti di condurre una vita pressoché normale.
I sintomi della leucemia mieloide e l’importanza della diagnosi precoce
Riconoscere tempestivamente i sintomi della leucemia mieloide è fondamentale per intervenire prontamente e migliorare le possibilità di guarigione o controllo della malattia. Tra i segnali più comuni da non sottovalutare si trovano:
- Stanchezza persistente e senso di debolezza, dovuti alla carenza di globuli rossi.
- Pallore cutaneo.
- Febbre o infezioni ricorrenti, legate alla riduzione dei globuli bianchi.
- Sanguinamenti insoliti, come epistassi o sanguinamenti gengivali, indice di una diminuzione delle piastrine.
- Dolori ossei o articolari, che possono essere provocati dall’accumulo di cellule leucemiche nel midollo.
- Perdita di peso non spiegata.
- Ingrossamento di milza e linfonodi in alcuni casi.
La diagnosi si basa su esami del sangue e sull’analisi del midollo osseo, fondamentali per distinguere la leucemia mieloide da altre malattie del sangue. Oggi, grazie ai progressi della ricerca, esistono trattamenti più mirati e personalizzati rispetto al passato, che aumentano le possibilità di successo e migliorano la qualità della vita dei pazienti.
Le nuove frontiere terapeutiche e il caso Achille Polonara
Il caso di Achille Polonara, noto giocatore di pallacanestro della Virtus Bologna, ha sensibilizzato l’opinione pubblica su questa malattia. Polonara, che si è distinto in carriera per la sua versatilità in campo e per i numerosi successi ottenuti in Italia e all’estero, è stato recentemente ricoverato al Sant’Orsola di Bologna per iniziare le cure necessarie dopo la diagnosi di leucemia mieloide.
Negli ultimi anni la medicina ha fatto passi avanti significativi nel trattamento della leucemia mieloide, con terapie innovative come l’immunoterapia e le terapie mirate, che agiscono su specifiche mutazioni genetiche delle cellule leucemiche. Questi trattamenti permettono di ridurre gli effetti collaterali e di adattare la cura alle caratteristiche individuali del paziente, aumentando così le possibilità di remissione e di convivenza con la malattia.
In particolare, per la leucemia mieloide acuta, oltre alla chemioterapia tradizionale e al trapianto di midollo, sono disponibili farmaci che colpiscono mutazioni genetiche specifiche, mentre per la leucemia mieloide cronica gli inibitori della tirosin-chinasi come l’imatinib hanno rivoluzionato la prognosi, trasformandola in una condizione gestibile a lungo termine.
Polonara, già reduce da un intervento per una neoplasia testicolare nel 2023 e da un rapido ritorno in campo, affronta ora questa nuova sfida con il supporto della comunità sportiva e medica. Il suo caso rappresenta un importante richiamo all’attenzione sulla leucemia mieloide, una malattia che, pur essendo seria, non è più una condanna grazie agli sviluppi terapeutici.






